当我们进行体检,拿到一份“宫颈液基薄层细胞学检查(TCT)”或“尿液脱落细胞学”等报告时,其实就已经接触到了《细胞病理学》这门学科。那么,这门学科究竟特殊在哪里呢?
与我们熟悉的组织病理学(通过切除的肿块或活检组织进行诊断)不同,细胞病理学主要通过对人体自然脱落或通过细针抽吸获取的少量细胞进行检查。它的“特殊”在于:
1.标本来源便捷:细胞病理学的标本来源是通过采集病变部位自然脱落或通过细针穿刺采集,组织损伤极小,病人痛苦很少,主要标本有:宫颈脱落细胞、尿液、痰液、胸水、腹水、甲状腺结节穿刺液等。

胸水标本 痰液标本
2.诊断快速:细胞病理制片流程简单、快捷,能较快提供初步诊断方向,是重要的早期筛查手段。

病理医生正在阅片
3.见微知著:优秀的细胞病理医生能在微量细胞中,敏锐识别出癌细胞的蛛丝马迹,为许多疾病的早期诊断打开第一扇窗,特别适用于大规模防癌普查和高危人群的随访观察,如宫颈癌的普查等。

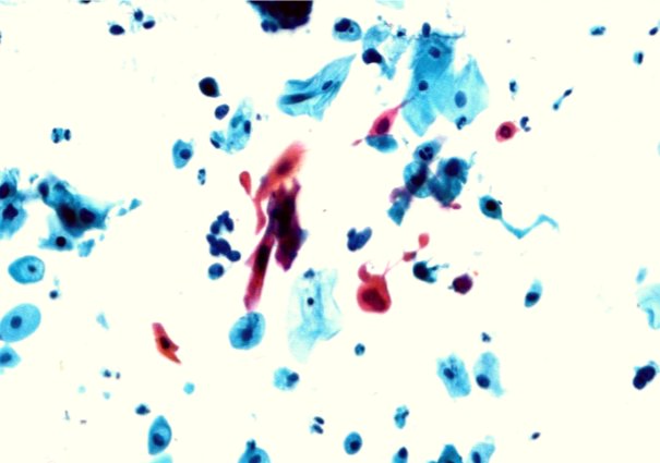
宫颈鳞癌细胞 痰液中的腺癌细胞
因此,细胞病理学犹如一位“细胞侦探”,在肿瘤筛查、诊断和疗效评估中扮演着不可替代的角色。它是连接临床与病理的重要桥梁,用微小的细胞,守护着健康的全局。